ВНИМАНИЕ! ФОТО НЕ ДЛЯ СЛАБОНЕРНЫХ! (Возможно Вам будет не комфортно читать этот тест, поэтому покиньте пожалуйста эту страницу). Данный пост я написал для медиков.
CAUTION! Some photos below may be disturbing to some viewers. If you are sensitive please leave this page.
When you study genetic disorders you have to learn and memorize a lot of stuff. I have noticed that it is easier for me when I see the patient. I tried to make a quiz which focuses on key points of common genetic diseases. These are NOT USMLE-style questions.
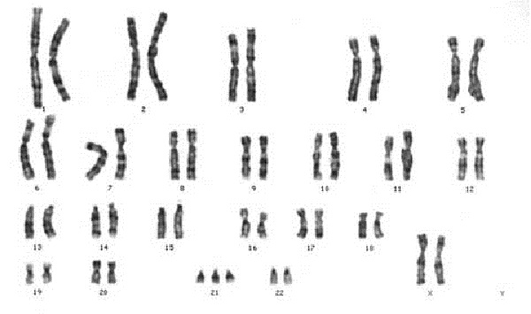
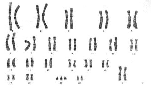
1. A 36 year old male with the following karyotype comes to see physician. What is the most likely findings associated with this patient?
A. Lewy bodies
B. Negri bodies
C. Psammoma bodies
D. Neurofibrillary tangles
E. Mallory bodies
F. Spongiform transformation
2. This patient is at increased risked for which of the following:
A. Lens displacement
B. Aortic coarctation
C. Mitral valve prolapse
D. Hypertrophic cardiomyopathy
E. Cystic medial necrosis of the aorta
3. The patient is most likely suffer from which of the following condition?
A. Macroorhidism
B. Rickets
C.Red blood stippling
D. Acute lymphoblastic leukemia
E. Chronic myelogenoeus leukemia
F. HbC defect
4. The infant with rocker-bottom feet, micrognatia, clenched hands and congenital heart disease dies within 3 month. Which of the following chromosome is defected?
A. 5
B. 11
C.13
D.18
E. 21
F. 23
5. The child brought to the doctors office with abnormal appearance of the pupil, vision deterioration. What is the gene associated with this disease?
A. APC
B. Rb 1
C.NF 1
D.FGFR 2
E. WT 2
6. A 52 year old female comes to the doctors office with severe headache and one leg weakness. Which of the chromosome is defected?
A. 5
B. 7
C.17
D.22
E. 23
7. On the first trimester of the pregnancy the ultrasound has been made. Which of the following is associated with this condition?
A. Increased of alpha protein
B. Decreased of alpha protein
C. Increased estriol
D. Decreased ß-hCG
8. An infant with rocker-bottom feet, microphthalmia, cleft palate, polydactily and congenital heart disease dies within 2 weeks. Which of the following chromosome is defected?
A. 5
B. 11
C.13
D.18
E. 21
F. 23
9. 4 year old child brought to the clinical office. His mother said that he has trouble to getting up from sitting position. The boy has a wadding gait and when sitting he uses his arm to push himself into upright position. The patient’s parents have a second son who is 3 month old. What is the chance that he too will develop this condition?
A. 100%
B. 75%
C. 50%
D. 25%
E. 0%
10. A 25 year old patient comes to the hospital with severe headache that started 2 hours ago. The patient has hyper extensible skin, hyper pigmentation over bone prominences. BP 138/95 H, HR 56/min. What is the most likely defect associated with this patient disease?
A. Decrease activity of lysyl oxidase
B. Deficiency hydroxylation of propyl and lysyl residues
C. Keratin gene mutation
D. Type I collagen
E. Type IV collagen
*****************************************************************************************************************
Answers:
- The correct answer is D. This is Down syndrome (trisomy 21). Patients with Down syndrome have increased risk of Alzheimer’s disease older then 35 year old which associated with Neurofibrillary tangles.
- The correct answer is B. This is the Turner syndrome (45 XO). Patients born with Turner syndrome have high risk to develop coarctation of the aorta, a congenital narrowing of the descending aorta.
- The correct answer is D. This is the Down syndrome (trisomy 21). Patients with Down syndrome associated with Acute lymphoblastic leukemia.
- The correct answer is D. This is the Edwards’ syndrome (trysomy 18).
- The correct answer is B. This is the retinoblastoma (Rb). Retinoblastoma is a rapidly developing cancer that develops in the cells of retina the light-detecting tissue of the eye. In children with the heritable genetic form of retinoblastoma there is a mutation on chromosome 13 (gene Rb1). Remember white dot in the eyes!
- The correct answer is C. This is Neurofibromatosis. The neurofibromatoses are genetic disorders that cause tumors to grow in the nervous system. The tumors begin in the supporting cells that make up the nerves and the myelin sheath–the thin membrane that envelops and protects the nerves. These disorders cause tumors to grow on nerves and produce other abnormalities such as skin changes and bone deformities (link).
- The correct answer is B. The Down syndrome is suspected because the ultrasound shows increased nuchal translucency. According the pregnancy screen of women with suspected fetus with Down syndrome shown decreased alpha protein.
- The correct answer is C. This is Patau’s syndrome (trisomy 13).
- The correct answer is C. This is Duchenne’s muscular dystrophy (DMD). The chances are 50% because the mother is carrier of this disoder, each son has 50% of inheriting the X chromosome with the mutated allele from her.
- The correct answer is A. This is Ehler-Danlos syndrome which characterized faulty collagen (type III) synthesis and decreased activity of lysyl oxidase.











Thank you for the scientific data
LikeLike
I see a lot of interesting posts on your blog. You have to spend a lot of time writing, i know how to save you a lot of work, there is a tool that
creates unique, SEO friendly posts in couple of seconds, just type in google – k2 unlimited content
LikeLike