Невероятный случай был опубликован меньше месяца назад в “New England Journal of Medicine”.
В Кардиологический центр города Москвы обратился мужчина 85 лет с жалобами на боль в сердце. После детального изучения анамнеза пациента, врачи отправили его на компьютерную томографию головного мозга.
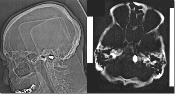
Каково было их удивление, найти прямо у основания черепа рядом с “foramen magnum” (радиологи меня поправят) настоящую пулю.
Courtesy of Maya Safarova, M.D. and Marat Ezhov, M.D., Ph.D.
Оказывается, когда пациенту было три года, в него случайно выстрелил его брат. Причем ни куда-нибудь, а прямо в голову. Пуля вошла в область ноздри и уже никогда не выходила.
Ровно 82 года назад, хирурги отказались оперировать ребенка сославшись на возможные не обратимые осложнения.
Как мы видим сегодня, человек прожил с пулей в голове 82 года. Он сделал успешную карьеру инженера и дожил до преклонных лет.
Случай уникальный, пуля не задела и в последствии не сдавила, ни один из жизненно-важных центров.
Решение врачей сегодняшних дней, повторяет заключение 82-х летней давности: “пулю не вынимать”, с единственной оговоркой: МРТ противопоказан.
_________________________________________
На этой неделе в конгресс США вернулась женщина – политик, которой 8 января 2011 года, рядом с продуктовым супермаркетом был произведен выстрел в голову обезумевшим психопатом.
Габриель Гиффордс – член палаты представителей США от штата Аризона, была доставлена в больницу в коме. Она долгое время не могла говорить, самостоятельно дышать.
Прошел ровно год, как она снова смогла предстать перед американской политической элитой.
Фото Reuters. Объятие Обамы и приветствие стоя.
P.S.
Если внимательно по-разглядывать присутствующих на заседании Сената США, то можно найти много интересных людей.

Эх, снимки подрезаны, не видно чей КТ 😦
Подписывай, пожалуйста, фотографии. Я не знаю кто эти люди на заседании Сентата США.
LikeLike
В России первую женщину слева, трудно узнать – это секретарь самого богатого американца Уоррена Баффета, вторая – вдова Стива Джобса Лаурен.
LikeLike
В общем лучше подписывай 🙂
LikeLike