Впервые за два года решил на выходных посмотреть российский ТВ.
Впечатлений особо никаких нет т.к. больше часа я не выдержал. Обратил лишь внимание на рекламный ролик, в котором молодые люди находятся в поисках неземной свежести – айс.
В США “айс” – это психостимулирующий наркотик метамфетамин (аналог амфетамина).
Айс (Ice) с английского языка – лед
Группа амфетаминов является самым распространенным наркотиком на Земле после каннабиноидов (гашиш, марихуана и прочее). Свою популярность они получили за счет довольно простой схемы получения данного вещества.
Первый синтез метамфетамина был произведен в 1919 году в Японии. В то время он позиционировался, как лекарственное вещество первитин (pervitin) и использовался для лечения депрессий.
Интересен факт, что первитин регулярно получал Гитлер. Несмотря на идеологию здорового образа жизни Третьего рейха, наркотик проник в ряды нацистов.
Возможно применением перветина, можно объяснить развитие у фюрера болезни Паркинсона и тяжелых проблем с зубами.
Последняя статья в “Science”, еще раз показывает взаимосвязь применения амфетаминов и развития неизлечимой болезни Паркинсона.
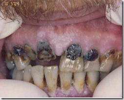
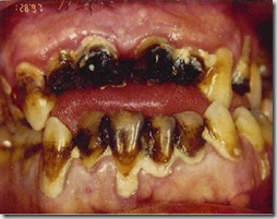
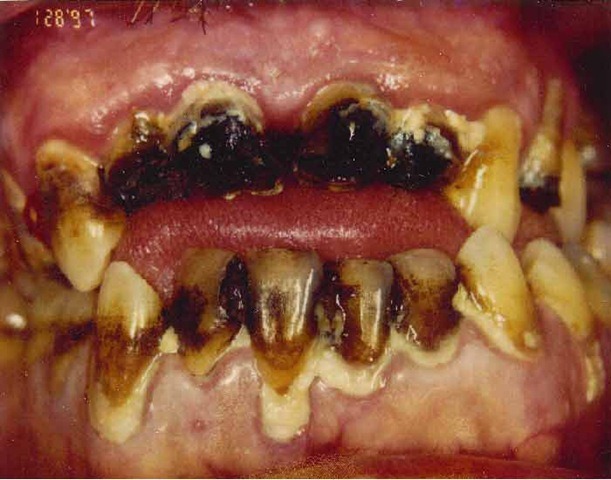
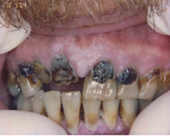
Другая проблемы зубы. Многие наркоманы при применении “айс” отмечают расшатывание, и дальнейшее их гниение.
Опять вспоминаем с какой безумной жестокостью нацисты выдирали зубы у узников своих концлагерей.
Согласно Федеральной службе по контролю за оборотом наркотиков, в России пять миллионов наркоманов. Россия занимает по этому показателю третье место в мире. Думаю официальную цифру можно смело умножать на два.
Таким образом, в нашей стране проживает не менее 7% больных страдающих наркоманией, а это уже простите совсем не АЙС.
P.S. Вот эта реклама, которая смотрится теперь весьма двусмысленно.

Я думаю тебе стоит чаще в России бывать, чтобы реклама жевачки не вызывала ассоциаций с наркотиками.
LikeLike
Какая разница где бывать. Я про айс не на улице узнал, а в книгах.
LikeLike
Класс, на рекламу и в правду совсем по-другому смотришь, ну сейчас вспоминаешь …
LikeLike
Света. Ну ты же нормальная русская девушка. Ты то куда ? 🙂
LikeLike